Casos Clínicos
Radiofrecuencia pulsada en un paciente con neuralgia glosofaríngea postoperatoria de las cuerdas vocales refractaria al tratamiento convencional
Pulsed radiofrequency in a patient with postoperative vocal cord’s glossopharyngeal neuralgia refractory to conventional treatment
MPJ. 2021;1:61-66
David Abejón González1, Eva M. Monzón2, Cristina Abad2, Alberto Ríos2
1Unidad de Dolor. Hospital Universitario Quirónsalud Madrid. Ruber Juan Bravo Hospital Complex. Hospital Quirónsalud San José. Madrid, España, 2Unidad de Dolor. Hospital Universitario Quirónsalud. Madrid, España
Recepción: 19 diciembre 2020
Aceptación: 28 diciembre 2020
Publicación: 20 mayo 2021
Resumen
La neuralgia del glosofaríngeo representa solamente del 0,2 % al 1,3 % de los casos de dolor facial; aun así, su tratamiento supone un reto médico. Puede ser idiopática o secundaria a diferentes condiciones como compresión vascular, tumores orofaríngeos, traumatismos, síndrome de Eagle o poscirugía amigdalina y periamigdalina.
El tratamiento médico de la neuralgia del glosofaríngeo con neuromoduladores (carbamacepina, gabapentina) habitualmente es poco efectivo, por lo que suelen ser necesarios procedimientos intervencionistas o quirúrgicos para conseguir controlar o aliviar el dolor. Opciones con eficacia del 90 % son la neurólisis con alcohol, la sección extracraneal o intradural del nervio glosofaríngeo y la descompresión vascular, pero presentan posibles complicaciones como disfagia y episodios de tos, y una tasa de mortalidad intraoperatoria hasta del 5 % en algunos estudios.
Otras técnicas menos conocidas son la radiofrecuencia convencional a 60-90°, con algunos casos publicados, y la radiofrecuencia pulsada. Esta última tiene la ventaja de poder utilizarse en nervios periféricos sin el riesgo de producir signos de desaferenciación
y con una eficacia similar a la de la radiofrecuencia convencional.
Presentamos un caso clínico de neuralgia del glosofaríngeo tras cirugía de cuerdas vocales donde la radiofrecuencia pulsada fue usada sin ninguna complicación y fue efectiva en el corto y medio plazo aliviando el dolor del paciente.
Palabras clave: Neuralgia del glosofaríngeo, dolor crónico, radiofrecuencia pulsada, dolor neuropático.
Abstract
Even though the glossopharyngeal neuralgia (GPN) only represents the 0,2-1,3 % of facial pain, the treatment of the affected patients is a challenge for the physician. The GPN can be idiopathic, or secondary to different conditions such as vascular compression, oropharyngeal tumors, traumatisms, Eagle’s syndrome and post tonsillectomy and peritonsillar surgery.
The medical treatment for GPN with neuromodulators (carbamacepine, gabapentine) is usually not effective, being other procedures or instrumental techniques needed to control or alleviate the pain. Alcoholic neurolysis, extracranial or intradural section of the glossopharyngeal nerve and vascular decompression are known options for its treatment with a 90 % efficacy but with possible complications such as dysphagia and coughing episodes, and an intraoperative mortality rate of 5 % in some studies. Less known techniques are conventional radiofrequency at 60-90 ºC with some case studies and even less known is the pulsed radiofrequency (PRF) procedure. PRF has the advantage of being able to be used on peripheric nerves without producing deafferentation signs and the efficacy seems to be similar to that of conventional radiofrequency.
We present a case of GPN after a vocal cord surgery where RFP was used without any complications and was effective in the short and medium term alleviating the patient’s pain.
Keywords: Glossopharyngeal neuralgia, chronic pain, pulsed radiofrequency, neuropatic pain.
Artículo Completo

Introducción

La neuralgia del glosofaríngeo (NGF) consiste en la aparición de dolor neuropático en el territorio del noveno par craneal (faringe y región auricular) (1). Es una causa poco frecuente (0,2-1,3 %) (2) de dolor orofacial, comparada con otras causas como la neuralgia del trigémino (3).

La primera vez que se describió la enfermedad fue en 1921, por Harris (3), y posteriormente por Doyle en 1923 (4), que describió cuatro pacientes con esta patología.

La NGF se clasifica como primaria (idiopática) o secundaria, en función de si se puede hallar una lesión subyacente demostrable o no.

El tratamiento inicial de esta enfermedad es farmacológico, con neuromoduladores (carbamacepina, gabapentina) (5), aunque la mayoría de los casos requieren un abordaje intervencionista. Entre las opciones intervencionistas se encuentra el bloqueo del nervio (6), la neurolisis con alcohol (7), la sección extracraneal o intradural del nervio glosofaríngeo (8), las descompresiones vasculares (9,10), el gamma knife (11) y la radiofrecuencia en sus modalidades: convencional (60-90°) (12,13) y pulsada. Aunque la termocoagulación con radiofrecuencia continua es bien conocida, cada vez hay más casos reportados de pacientes tratados con radiofrecuencia pulsada (RFP) (14-18).

Presentamos un caso de NGF, secundaria a una cirugía de cuerdas vocales, que fue tratada con RFP sobre el nervio glosofaríngeo.

Caso clínico

Mujer de 48 años sin alergias medicamentosas que presenta como único antecedente una microcirugía laríngea en 2017 para la extirpación de pólipos en las cuerdas vocales. Tras la cirugía, la paciente presentó dolor en la cara interna izquierda de la faringe irradiado hacia el oído izquierdo. El servicio de otorrinolaringología pautó rehabilitación, tras la cual el cuadro de dolor mejoró.

Un año después de la rehabilitación, y asociado a un cuadro de estrés, reinició la sintomatología con dolor y escozor en la parte posterior e izquierda de la faringe y base de la lengua, que le obligó a acudir a urgencias en varias ocasiones. El dolor se desencadenaba al hablar y con la deglución. Inicialmente fue diagnosticada de bruxismo y recibió tratamiento con relajantes musculares, con escasa mejoría. También se empleó toxina botulínica en ambos maseteros, que produjo una leve mejoría del dolor de forma transitoria.

El dolor fue incrementándose de forma paulatina hasta llegar a ser continuo y limitó su capacidad de deglución, por lo que comenzó a perder peso. Fue diagnosticada de neuralgia del trigémino atípica y se inició tratamiento médico con carbamacepina 400 mg cada 8 horas, con gran mejoría del dolor, aunque se acompañó de efectos secundarios (mareo, somnolencia). Las molestias al tragar se mantuvieron y presentó parestesias y disestesias, con dolor lancinate hacia la zona retroauricular ocasionalmente.

Se modificó el tratamiento médico con aumento de la dosis de carbamacepina (400-600-400 mg) y se añadieron otros neuromoduladores (gabapentina 300 mg cada 8 horas y duloxetina 60 mg cada 24 horas), tras lo cual la paciente experimentó una mejoría moderada en el control del dolor, pero con aumento de los efectos secundarios.

Debido a la mala evolución clínica, la paciente precisó ingreso hospitalario y, tras la valoración del caso en sesión multidisciplinar (neurología, neurocirugía y unidad de dolor), se llegó al diagnóstico de NGF. Se decidió su tratamiento con RFP de nervio glosofaríngeo.

El procedimiento se realizó empleando la técnica de Raj (Figuras 1, 2 y 3). Antes de administrar la RFP se aplicó estimulación sensorial (50 Hz) a 0,3 V hasta alcanzar parestesia en la zona amigdalina, y estimulación motora (2 Hz) a 0,6 V, realizando el tratamiento durante 6 minutos a una temperatura de seguridad de 42 °C, con una frecuencia de 2 Hz, anchura de pulso de 20 ms y voltaje de 40-45 V. Al finalizar el tratamiento se añadieron 3 cc de una mezcla de triamcinolona (Trigon depot®) 20 mg y bupivacaína 0,125 %.

Tras el procedimiento, la paciente presentó una mejoría clínica que permitió el alta hospitalaria.

Se evaluó a la paciente a los 30 días de la intervención. Presentaba una mejoría subjetiva del dolor de un 100 %, por lo que se inició la desescalada de la medicación. A los 3 meses se pudo retirar completamente la gabapentina, y la carbamacepina se sustituyó por una única dosis de acetato de eslicarbamacepina 400 mg al día. La mejoría tras la radiofrecuencia pulsada fue de 1 año, tras el cual la paciente acudió a consulta por exacerbación. Se repitió la técnica, con una mejoría del 90 % de su dolor.

Discusión

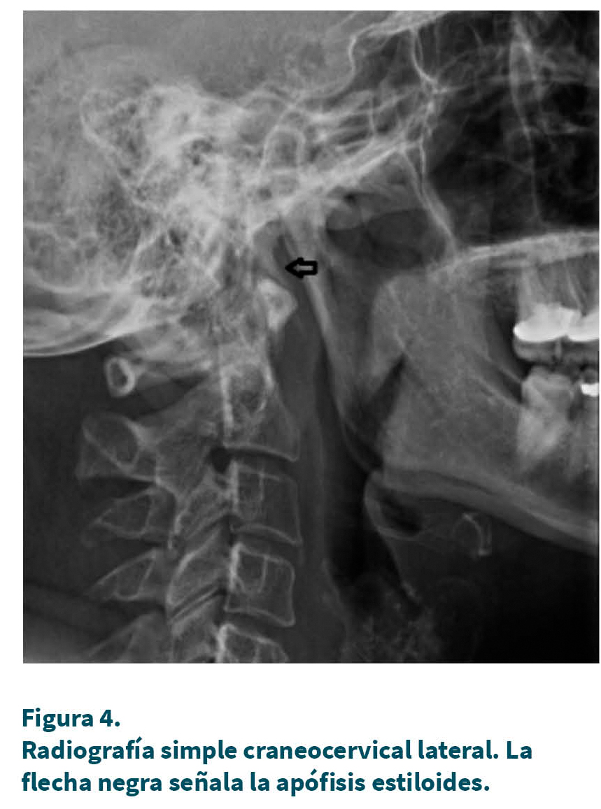
El nervio glosofaríngeo o IX par craneal es un nervio mixto con función sensitiva, motora y visceral, que emerge del bulbo raquídeo y se hace periférico al atravesar el agujero yugular acompañado de los nervios vago y accesorio espinal. Extracranealmente se sitúa posteromedial a la apófisis estiloides (Figuras 1 y 4), entre la vena yugular interna y la arteria carótida interna. Desde aquí alcanza la pared faríngea por la cara exterior del músculo estilofaríngeo, al que proporciona inervación motora. Las ramas principales son el nervio de Jacobson (nervio timpánico) y el nervio de Hering (información visceral del seno carotídeo). El nervio timpánico inerva el oído interno, el oído medio y la trompa de Eustaquio. El nervio glosofaríngeo y su plexo inervan el tercio posterior de la lengua, la orofaringe, el paladar blando y las amígdalas palatinas. Lleva información visceral parasimpática desde los núcleos salivares inferiores, la cual, haciendo relevo en el ganglio ótico, alcanza la glándula parótida (14,19).

Esta distribución anatómica explica la localización del dolor neuropático que típicamente presentan los pacientes aquejados de NGF, que incluye el área amigdalar, la base de la lengua y la faringe posterior, con irradiación hacia el oído y la parte superior cervical (2). Entre los desencadenantes de dolor se encuentran la tos, la apertura mandibular y la masticación. Durante los episodios de aumento de dolor, debido a la conexión con el nervio vago, se produce una estimulación del sistema nervioso autónomo que puede provocar bradiarritmias graves y asistolia (20).

En cuanto a la clasificación según la etiología, la NGF se divide en primaria (o idiopática) y secundaria (21).

La mayoría de los casos de NGF son considerados como NGF primaria, en la que, no habiendo una lesión subyacente demostrable, se atribuye la neuralgia a la comprensión del nervio glosofaríngeo. La compresión puede tener lugar en la emergencia craneal del nervio o bien producida por un vaso sanguíneo (3). Lo que sustenta esta teoría es que tras la descompresión microvascular mejora la sintomatología de los pacientes (22,23).

En la NGF secundaria existe una lesión subyacente. Las principales causas que generan el cuadro son traumatismos (24), tumores de la región orofaríngea (tumores de base de la lengua, hipofaringe y amígdalas) (25), infección, malformación vascular, atrapamiento nervioso en tejido cicatricial (26), por crecimiento de la estiloides o por calcificación del ligamento estilohioideo (síndrome de Eagle) (16,27). Se sospecha cuando hay déficits neurológicos en la región inervada por el nervio glosofaríngeo, ausencia de intervalos sin dolor o distribución del dolor diferente al área del glosofaríngeo.

Entre las causas posquirúrgicas se encuentran la amigdalectomía, craneotomía, disección cervical y cirugía del septo y los cornetes inferiores (18). En el caso que se presenta, la paciente desarrolla la NGF tras una cirugía de cuerdas vocales, por lo que se encuadra entre las NGF secundarias posquirúrgicas.

El tratamiento de la NGF se puede dividir en intervencionista y no intervencionista (tratamiento médico). En este último se encuentra el tratamiento con neuromoduladores como la carbamacepina, la gabapentina, los antidepresivos tricíclicos, etc. (5,28,29), pero sus resultados son limitados bien por los efectos secundarios de los fármacos o bien por la dificultad en el mantenimiento de la prescripción. Los tratamientos intervencionistas que se han utilizado para la NGF son numerosos, siendo la descompresión microvascular, descrita por Laha y Jannetta (30), el más extendido. Aunque tiene una baja morbimortalidad (tasa de morbilidad del 5 % y tasa de mortalidad del 0,3 %), presenta riesgos y fallos en la técnica (9,31).

Otras opciones terapéuticas son las neuroablativas. Entre estas se encuentran la sección del nervio glosofaríngeo extracraneal o intracraneal (8,22) y la radiocirugía (gamma knife) (11).

La utilización de la termocoagulación con radiofrecuencia fue descrita por Tew (32) y empleada por otros autores (8,9). Su aplicación en nervios periféricos tiene el riesgo de provocar neuritis, dolor por desaferenciación y lesiones vasculares (12). De hecho, los estudios histológicos revelan la destrucción de fibras tanto pequeñas como grandes tras el empleo de la lesión por radiofrecuencia (33). La termocoagulación del nervio glosofaríngeo puede provocar una lesión del nervio vago (13) por proximidad, así como la aparición de bradiarritmias graves con parada sinusal transitoria.

La utilización de la RFP se fundamenta en el desarrollo de una técnica selectiva sobre las fibras C, sin alterar las fibras mielínicas, previniendo así los síndromes de dolor por desaferenciación (34). Durante la aplicación de la RFP no solo interviene la producción del calor, sino que los tejidos también se ven expuestos a un campo eléctrico. La exposición de los tejidos a este campo eléctrico implica una serie de efectos biológicos con el aumento de la expresión del oncogén c-fos en las láminas I y II de la médula (35). El rango de temperatura que se emplea en la RFP oscila entre 42 y 45 °C, temperaturas que no producen lesiones nerviosas, mientras que los tratamientos que se realizan por encima de 45 °C producen lesiones nerviosas, y estas son irreversibles a partir de los 60 °C (34,35).

La RFP es una técnica mínimamente invasiva y segura. No existe en la bibliografía ningún caso de déficit neurológico u otras complicaciones permanentes derivadas de su empleo. Entre las complicaciones temporales descritas se encuentran la bradicardia intraoperatoria, neuroapraxia transitoria del nervio facial, disfagia, alteraciones sensitivas en la lengua y alteración del sentido del gusto. La RFP tiene buenos resultados y, en caso de que la analgesia sea insuficiente o limitada temporalmente, la técnica se puede repetir o bien valorar otras opciones intervencionistas tras haberla aplicado (36).

Conclusiones

La RFP del nervio glosofaríngeo es una técnica segura y eficaz para el tratamiento de pacientes con NGF en los que el tratamiento médico no es suficiente o presentan efectos adversos al mismo. Debería ser valorada como primera opción intervencionista para el tratamiento, ya que, de entre todas las opciones intervencionistas existentes, es la que menos efectos adversos presenta y, en caso de aparecer, son transitorios.

 

BIBLIOGRAFÍA

1. International Association for the Study of Pain. Classification of chronic pain. Descriptions of chronic pain syndromes and definitions of pain terms. Pain Suppl. 1986;3:S1-226.

2. Katusic S. Williams DB, Beard CM, Bergstralh EJ, Kurland LT. Epidemiology and clinical features of idiopathic trigeminal and glossopharyngeal neuralgia: similarities and differences, Rocheter, Minesota, 1945-1984. Neuroepidemiology. 1991;10(5-6):276-81.
DOI: 10.1159/000110284.

3. Harris W. Persistent pain in lesions of the peripherical and central nervous system. Brain. 1921;44:557-71.

4. Doyle JB. A study of four cases of glossopharyngeal neuralgia. Arch Neurol Psychiatry. 1923;9:34-46.

5. Moretti R, Torre P, Antonello RM, Bava A, Cazzato G. Gabapentin treatment of glossopharyngeal neuralgia: a follow-up of four years of a single case. Eur J Pain. 2002;6(5):403-7. DOI: 10.1016/s1090-3801(02)00026-5.

6. Raj PP, Lou L, Erdine S, Staat P. Glossopharyngeal nerve block. In: Raj PP editor. Radiographic imaging for regional anesthesia and pain management. Philadelphia, PA: Churchill Livingstone; 2002. p. 56-60.

7. Beyaz SG, Sarıtaş A, Ülgen AM, Bayar F. Use of bilateral glossopharyngeal nerve neurolysis in a patient with cancer of the tongue base. Pain Pract. 2016;16(1):E21-2. DOI: 10.1111/papr.12401.

8. Lu VM, Goyal A, Graffeo CS, Perry A, Jonker BP, Link MJ. Glossopharyngeal Neuralgia Treatment Outcomes After Nerve Section, Microvascular Decompression, or Stereotactic Radiosurgery: A Systematic Review and Meta-Analysis. World Neurosurg. 2018;120:572-82.e7. DOI: 10.1016/j.wneu.2018.09.042.

9. Patel A, Kassam A, Horowitz M, Chang Y. Microvascular decompression in the management of glossopharyngeal neuralgia: Analysis of 217 cases. Neurosurgery. 2002;50(4):705-10. DOI: 10.1097/00006123-200204000-00004.

10. Resnick D, Janetta P, Bissonnette D, Jho HD, Lanzino G. Microvascular decompression for glossopharyngeal neuralgia. Neurosurgery. 1995;36(1):64-8. DOI: 10.1227/00006123-199501000-00008.

11. Kano H, Urgosik D, Liscak R, Pollock BE, Cohen-Inbar O, Sheehan JP, et al. Stereotactic radiosurgery for idiopathic glossopharyngeal neuralgia: an international multicenter study. J Neurosurg. 2016;125(Suppl 1):147-53.
DOI: 10.3171/2016.7.GKS161523.

12. Arbit E, Krol G. Percutaneous radiofrequency neurolisis guided by computed tomography for the treatment of glossopharyngeal neuralgia. Neurosurgery. 1991;29(4):580-2. DOI: 10.1097/00006123-199110000-00016.

13. Arias M. Percutaneous radiofrequency thermocoagulation with low temperature in the treatment of essential glossopharyngeal neuralgia. Surgical Neurology.1986;25(1):94-6.
DOI: 10.1016/0090-3019(86)90124-2.

14. Shah R, Racz GB. Pulsed mode radiofrequency lesioning to treat chronic post-tonsillectomy pain (secondary glossopharyngeal neuralgia. Pain Practice. 2003;3(3):232-7. DOI: 10.1046/j.1533-2500.2003.03028.x.

15. Chua NH, Beems T, Vissers KC. Two cases of glossopharyngeal neuralgia successfully treated with pulsed radiofrequency treatment. Ann Acad Med Singap. 2011;40(8):387-9.

16. Swain BP, Vidhya S, Kumar S. Eagle’s syndrome managed successfully by pulsed radiofrequency treatment. Cureus. 2020;12(9):e10574. DOI: 10.7759/cureus.10574.

17. Bharti N, Chattopadhyay S, Singla N, Bala I, Batra YK, Bakshi J. Pulsed radiofrequency ablation for the treatment of glossopharyngeal neuralgia secondary to oropharyngeal carcinoma. Pain Physician. 2018;21(3):295-302.

18. Van Tilburg CWJ. Percutaneous pulsed radiofrequency treatment in a patient with chronic bilateral painful glossopharyngeal neuropathy. Am J Case Rep. 2020;21(3):e920579. DOI: 10.12659/AJCR.920579.

19. Faik Özveren M, Türe U, Memet Özek M, Necmettin Pamir M. Anatomic Landmarks of the Glossopharyngeal Nerve: A Microsurgical Anatomic Study, Neurosurgery. 2003;52(6):1400-10. DOI: 10.1227/01.neu.0000064807.62571.02.

20. García C, Serrano S, Capellades J, Valle V. Síncope secundario a síndrome del espacio parafaríngeo con neuralgia del glosofaríngeo asociada. Med Clin (Barc). 2003;12(19):356.
DOI: 10.1016/s0025-7753(03)73945-1.

21. Slavin KV. Glossopharyngeal neuralgia. Sem Neurosurg. 2004;15:71-8.

22. Taha JM, Tew JM. Long-term result of surgical treatment of idiopathic neuralgias of glossopharyngeal and vagal nerves. Neurosurgery. 1995;36(5):926-31. DOI: 10.1227/00006123-199505000-00006.

23. Kondo A. Follow up result of using microvascular decompression for treatment of glossopharyngeal neuralgia. J. Neurosurg. 1998;88(2):221-5. DOI: 10.3171/jns.1998.88.2.0221.

24. Webb CJ, Makura ZG, McCormick MS. Glossopharyngeal neuralgia following foreign body impactation in
the neck. J Laryngol Otol. 2000;114(1):70-2.
DOI: 10.1258/0022215001903735.

25. Pfendler DF. Glossopharyngeal neuralgia with tongue carcinoma. Arch Otolaryngol Head Neck Surg. 1997;123(6):658. DOI: 10.1001/archotol.1997.01900060110020.

26. Aggarwal A, Suresh V. Radiofrequency ablation and phenol neurolysis in a case of glossopharyngeal neuralgia due to a rare aetiology. Indian J Anaesth. 2020;64(5):437-9.
DOI: 10.4103/ija.IJA_9_20.

27. Fini G, Gasparini G, Filipini F, Becelli R, Marcotulio D. The long styliod process or Eagle´s syndrome. J Cranio-Maxilofacial Surg. 2000;28(2):123-7. DOI: 10.1054/jcms.2000.0128.

28. Johnston RT, Redding VJ. Glossopharyngeal neuralgia associated with cardiac syncope: long term treatment with permanent pacing and carbamazepine. Br Heart J. 1990;64(6):403-5. DOI: 10.1136/hrt.64.6.403.

29. Eide PK, Stubhaung A. Relife of glossopharyngeal neuralgia by ketamine-induced N-metil-aspartate receptor blockade. Neurosurgery. 1997;41(2):505-8. DOI: 10.1097/00006123-199708000-00043.

30. Laha RK, Janetta PJ. Glossopharyngeal neuralgia. J Neurosurg. 1977;47(3):316-20. DOI: 10.3171/jns.1977.47.3.0316.

31. Kalkanis SN, Eskandar EN, Carter BS, Barker FG. Microvascular decompression surgery in the United States, 1996 to 2000: mortality rates, morbility rates and the effects of hospital and surgeron volumes. Neurosurgery. 2003;52(6):1251-61.
DOI: 10.1227/01.neu.0000065129.25359.ee.

32. Tew JM Jr. Percutaneous rhizotomy in the treatment of intratable facial pain. In: Schmideck HH, Sweet WH, editors. Current techniques in operative neurosurgery. New York: Grune & Stratton; 1977. p. 409-26.

33. Louw JA, Vles HSH, Freling G, Herpers MJ, Arends JW, Van Kleef M. The morphology effects of a radiofrequency lesion adjacent to the dorsal root ganglion (RF-DRG): an experimental study in the goat. Eur J Pain. 2001;5(2):169-74. DOI: 10.1053/eujp.2001.0228.

34. Abejón D, Reig E. Is pulsed radiofrequency a neuromodulation technique? Neuromodulation. 2003;6(1):1-3.
DOI: 10.1046/j.1525-1403.2003.03009.x.

35. Sluijter ME. Radiofrequency. Part 1. A review of radiofrequency procedures in lumbar region. Flivopress; 2001.

36. Jia Y, Shrestha N, Wang X, Wang T, Luo F. The long-term outcome of ct-guided pulsed radiofrequency in the treatment of idiopathic glossopharyngeal neuralgia: a retrospective multi-center case series. J Pain Res. 2020;13:2093-102. DOI: 10.2147/JPR.S259994.

Nuevo comentario
Comentarios

14/12/2021 23:42:17
excelent thank you. alfredo


Bibliografía
1. International Association for the Study of Pain. Classification of chronic pain. Descriptions of chronic pain syndromes and definitions of pain terms. Pain Suppl. 1986;3:S1-226.
2. Katusic S. Williams DB, Beard CM, Bergstralh EJ, Kurland LT. Epidemiology and clinical features of idiopathic trigeminal and glossopharyngeal neuralgia: similarities and differences, Rocheter, Minesota, 1945-1984. Neuroepidemiology. 1991;10(5-6):276-81.
3. Harris W. Persistent pain in lesions of the peripherical and central nervous system. Brain. 1921;44:557-71.
4. Doyle JB. A study of four cases of glossopharyngeal neuralgia. Arch Neurol Psychiatry. 1923;9:34-46.
5. Moretti R, Torre P, Antonello RM, Bava A, Cazzato G. Gabapentin treatment of glossopharyngeal neuralgia: a follow-up of four years of a single case. Eur J Pain. 2002;6(5):403-7.
6. 6. Raj PP, Lou L, Erdine S, Staat P. Glossopharyngeal nerve block. In: Raj PP editor. Radiographic imaging for regional anesthesia and pain management. Philadelphia, PA: Churchill Livingstone; 2002. p. 56-60.
7. Beyaz SG, Sarıtaş A, Ülgen AM, Bayar F. Use of bilateral glossopharyngeal nerve neurolysis in a patient with cancer of the tongue base. Pain Pract. 2016;16(1):E21-2.
8. Lu VM, Goyal A, Graffeo CS, Perry A, Jonker BP, Link MJ. Glossopharyngeal Neuralgia Treatment Outcomes After Nerve Section, Microvascular Decompression, or Stereotactic Radiosurgery: A Systematic Review and Meta-Analysis. World Neurosurg. 2018;120:572-82.e7.
9. Patel A, Kassam A, Horowitz M, Chang Y. Microvascular decompression in the management of glossopharyngeal neuralgia: Analysis of 217 cases. Neurosurgery. 2002;50(4):705-10.
10. Resnick D, Janetta P, Bissonnette D, Jho HD, Lanzino G. Microvascular decompression for glossopharyngeal neuralgia. Neurosurgery. 1995;36(1):64-8.
11. Kano H, Urgosik D, Liscak R, Pollock BE, Cohen-Inbar O, Sheehan JP, et al. Stereotactic radiosurgery for idiopathic glossopharyngeal neuralgia: an international multicenter study. J Neurosurg. 2016;125(Suppl 1):147-53.
12. Arbit E, Krol G. Percutaneous radiofrequency neurolisis guided by computed tomography for the treatment of glossopharyngeal neuralgia. Neurosurgery. 1991;29(4):580-2.
13. Arias M. Percutaneous radiofrequency thermocoagulation with low temperature in the treatment of essential glossopharyngeal neuralgia. Surgical Neurology.1986;25(1):94-6.
14. Shah R, Racz GB. Pulsed mode radiofrequency lesioning to treat chronic post-tonsillectomy pain (secondary glossopharyngeal neuralgia. Pain Practice. 2003;3(3):232-7.
15. Chua NH, Beems T, Vissers KC. Two cases of glossopharyngeal neuralgia successfully treated with pulsed radiofrequency treatment. Ann Acad Med Singap. 2011;40(8):387-9.
16. Swain BP, Vidhya S, Kumar S. Eagle's syndrome managed successfully by pulsed radiofrequency treatment. Cureus. 2020;12(9):e10574.
17. Bharti N, Chattopadhyay S, Singla N, Bala I, Batra YK, Bakshi J. Pulsed radiofrequency ablation for the treatment of glossopharyngeal neuralgia secondary to oropharyngeal carcinoma. Pain Physician. 2018;21(3):295-302.
18. Van Tilburg CWJ. Percutaneous pulsed radiofrequency treatment in a patient with chronic bilateral painful glossopharyngeal neuropathy. Am J Case Rep. 2020;21(3):e920579.
19. Faik Özveren M, Türe U, Memet Özek M, Necmettin Pamir M. Anatomic Landmarks of the Glossopharyngeal Nerve: A Microsurgical Anatomic Study, Neurosurgery. 2003;52(6):1400-10.
20. García C, Serrano S, Capellades J, Valle V. Síncope secundario a síndrome del espacio parafaríngeo con neuralgia del glosofaríngeo asociada. Med Clin (Barc). 2003;12(19):356.
21. Slavin KV. Glossopharyngeal neuralgia. Sem Neurosurg. 2004;15:71-8.
22. Taha JM, Tew JM. Long-term result of surgical treatment of idiopathic neuralgias of glossopharyngeal and vagal nerves. Neurosurgery. 1995;36(5):926-31.
23. Kondo A. Follow up result of using microvascular decompression for treatment of glossopharyngeal neuralgia. J. Neurosurg. 1998;88(2):221-5.
24. Webb CJ, Makura ZG, McCormick MS. Glossopharyngeal neuralgia following foreign body impactation in the neck. J Laryngol Otol. 2000;114(1):70-2.
25. Pfendler DF. Glossopharyngeal neuralgia with tongue carcinoma. Arch Otolaryngol Head Neck Surg. 1997;123(6):658.
26. Aggarwal A, Suresh V. Radiofrequency ablation and phenol neurolysis in a case of glossopharyngeal neuralgia due to a rare aetiology. Indian J Anaesth. 2020;64(5):437-9.
27. Fini G, Gasparini G, Filipini F, Becelli R, Marcotulio D. The long styliod process or Eagle´s syndrome. J Cranio-Maxilofacial Surg. 2000;28(2):123-7.
28. Johnston RT, Redding VJ. Glossopharyngeal neuralgia associated with cardiac syncope: long term treatment with permanent pacing and carbamazepine. Br Heart J. 1990;64(6):403-5.
29. Eide PK, Stubhaung A. Relife of glossopharyngeal neuralgia by ketamine-induced N-metil-aspartate receptor blockade. Neurosurgery. 1997;41(2):505-8.
30. Laha RK, Janetta PJ. Glossopharyngeal neuralgia. J Neurosurg. 1977;47(3):316-20.
31. Kalkanis SN, Eskandar EN, Carter BS, Barker FG. Microvascular decompression surgery in the United States, 1996 to 2000: mortality rates, morbility rates and the effects of hospital and surgeron volumes. Neurosurgery. 2003;52(6):1251-61.
32. Tew JM Jr. Percutaneous rhizotomy in the treatment of intratable facial pain. In: Schmideck HH, Sweet WH, editors. Current techniques in operative neurosurgery. New York: Grune & Stratton; 1977. p. 409-26.
33. Louw JA, Vles HSH, Freling G, Herpers MJ, Arends JW, Van Kleef M. The morphology effects of a radiofrequency lesion adjacent to the dorsal root ganglion (RF-DRG): an experimental study in the goat. Eur J Pain. 2001;5(2):169-74.
34. Abejón D, Reig E. Is pulsed radiofrequency a neuromodulation technique? Neuromodulation. 2003;6(1):1-3.
35. Sluijter ME. Radiofrequency. Part 1. A review of radiofrequency procedures in lumbar region. Flivopress; 2001.
36. Jia Y, Shrestha N, Wang X, Wang T, Luo F. The long-term outcome of ct-guided pulsed radiofrequency in the treatment of idiopathic glossopharyngeal neuralgia: a retrospective multi-center case series. J Pain Res. 2020;13:2093-102.
Multimedia

Visual abstract

Instrucciones para citar
Abejón González D, Monzón E, Abad C, Ríos A. Radiofrecuencia pulsada en un paciente con neuralgia glosofaríngea postoperatoria de las cuerdas vocales refractaria al tratamiento convencional. MPJ. MPJ 2021;1:61-66


Descargar a un gestores de citas

Descargue la cita de este artículo haciendo clic en uno de los siguientes gestores de citas:

Métrica
Este artículo ha sido visitado 8910 veces.
Este artículo ha sido descargado 122 veces.
Compartir
Valoración del lector:
Valora este artículo:
Los artículos más leídos
16 abril 2024
Revisiones
Esperanza Regueras, Ignacio Velázquez, Luis Miguel Torres
6 septiembre 2023
Revisiones
María A. Pérez Herrero
23 mayo 2024
Revisiones
Alejandro Ezequiel Calb, María de las Mercedes Romero, Daiana Milena Schiaffino, Dalia Raijman
15 diciembre 2022
Revisiones
Francisco J Blanco, Carlos Gavín, Miguel Ángel Caracuel, Jacobo Formigo-Couceiro